【Frdbio抗原抗体】剑鱼和旗鱼相关的恒温通路以及表型相关的遗传改变
2021-04-14 10:01:52
1859
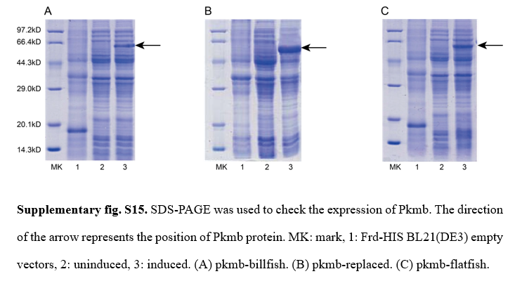
在脊椎动物的进化过程中,温度对生命体的生理活动具有重要的调节作用。陆地上的鸟类和哺乳类能够适应各种生境,其恒温能力功不可没。相比陆生环境,水生环境的生物获得恒温能力更为艰难,它们必须面对水体高比热,热量易丢失的挑战。然而,根据观测,至少有40种鱼类克服了这些困难,具备类似于哺乳动物和鸟类的恒温能力。其中,剑鱼、旗鱼和金枪鱼是恒温真骨鱼类中具有代表性的两支。这些鱼类是如何克服困难,并最终进化出恒温能力,其遗传基础是未解之谜。近日,中国科学院深海科学与工程研究所与西北工业大学合作研究,在Molecular Biology and Evolution上发表论文The genomes of two billfishes provide insights into the evolution of endothermy in teleosts,公布了高质量的剑鱼、旗鱼基因组,并解析了它们的恒温机制。鱼类恒温是一种较为罕见的现象,在现有的约4万种鱼类中,约有40种鱼类具有恒温能力。它们通过不断的游泳,产生热量,维持恒温,最后进化成为鱼类中繁荣昌盛的类群。独立起源的剑鱼-旗鱼和金枪鱼是这些鱼类中具有代表性的两支。这种表型上的趋同是否存在类似的分子机制?研究发现,剑鱼-旗鱼和金枪鱼中存在4个具有显著趋同信号的基因(pkmb、ryr1a、atp2a1和rh1),其中pkmb、ryr1a和atp2a1同在红色肌肉产热相关的无效钙离子循环通路中,使得分解ATP释放出的能量不用于钙离子的跨膜循环,而用于热量的产生。pkmb编码的丙酮酸激酶是糖酵解过程中最后一步的限速酶,在剑鱼-旗鱼和金枪鱼中存在两个趋同位点,实验证明该位点的突变确实改变了糖酵解过程中ATP的产生效率。这些趋同基因的改变可能是真骨鱼类热量产生的分子基础。为了应对水体快速散热的特点,水生恒温动物通常具有一个独特的逆流交换器,用于温度的保存和传递。剑鱼和旗鱼中存在着由动脉和静脉血管平行排列,血流方向完全相反的血管网络系统。在对剑鱼和旗鱼的同源基因分析中,发现存在9个显著受到正选择的基因,有三个基因(dapk3、prkcda和rfx4)的存在较大的氨基酸改变。dapk3是脊椎动物动物平滑肌收缩调控的重要因子,该基因可能参与了血管网络的形成;prkcda是调控血管张力的重要基因,该基因可能促进了逆流交换器更好的实现热量的保存和传递。而Rfx4高表达于哺乳动物视交叉上核,对昼夜变化和温度刺激具有调控作用。剑鱼和旗鱼中该基因的显著改变表明视交叉上核可能对它们也具有关键的调节作用。此外,研究发现与视觉敏感型相关的rh1在旗鱼、剑鱼和金枪鱼中发生趋同替换,与光感受器发育相关prdm1和rp2分别发生了基因加倍和正选择作用;与上颌骨发育相关的chd9在上游发生了调控元件的缺失或促进剑鱼和旗鱼上颌骨的发育,ggps1蛋白结构的改变可能与其上颌骨的快速修复能力有关;hox基因家族中调控元件的丢失可能与旗鱼背鳍发育和剑鱼腹鳍丢失有关。深海所博士研究生武宝生为论文第一作者,深海所研究员何舜平和西北工业大学副教授王堃为论文通讯作者。



原文链接:https://academic.oup.com/mbe/advance-article/doi/10.1093/molbev/msab035/6127180

027-87877773



鄂公网安备: